BRAIN NETWORK ATTUNEMENT
Breng je brein terug in authentieke resonantie
Wat is Brain Attunement?
- Trauma ontregelt de hersenen en zenuwstelsel
- Er is een nieuwe manier ontwikkeld waarmee dit hersteld kan worden.
Attunement = to bring something in harmony. (Op elkaar afstemen)
Deze helingstechniek is de allernieuwste ontwikkeling op het gebied van traumatherapie. Het kan zich meten met EMDR en Brain Spotting.
Iedereen heeft wel (jeugd)trauma, ongevallen en andere levkensveranderende ervaringen gehad. Er is nu steeds meer inzicht hoe deze ervaringen de hersenen en zenuwen ontregelen.
Het goede nieuws is: Je bent niet getekend voor het leven. Er is een manier om de hersenen en zenuwen te herstellen. Die methode heet “Brain Network Attunement”.
In het kort werkt het zo:
De lading van de ervaring laat je los.
Daarvoor in de plaats komt een helende frequentie.
Welke dat is wordt helemaal met jou afgestemd.
Zo kan een diep helingsproces in het brein plaatsvinden.
Wat kun je ermee kunt bereiken:
Lichamelijk (voorbeelden):
- Behandeling van lichamelijke klachten met neurologische oorsprong
- Verslaving loslaten
- Beter met prikkels in de omgeving om kunnen gaan
- Betere concentratie
- De volumeknop van chronische pijn omlaag
- Meer energie
- Beter slapen
- Stressvermindering
- Kom uit de freeze
- Spraakproblemen
Psychologisch (voorbeelden):
- Minder zelfondermijning
- Meer veiligheid in jezelf ervaren
- Diepere zelfliefde voelen
- Evenwichtiger en volwassener gedrag
- Betere sociale vaardigheden
Sommige gebeurtenissen hebben zo’n sterke impact dat je kan zeggen er was een “voor” en een “na” in mijn leven. Het kan zowel een emotionele gebeurtenis zijn als een somatische (lichamelijke) zoals een hersenschudding, ongeluk, operatie, zware bevalling.
In een Brain Frequency Attunement sessie worden de hersenfrequenties weer in harmonie afgestemd op elkaar.
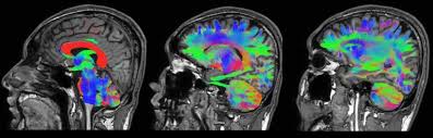
Wat is een brein netwerk?
- Elke kleur in het plaatje is een ander deel van het brein met een eigen min of meer afgebakende functie.
- Door hierop in te tunen kunnen we achter de verstoringen komen.
Het Human Connectome Project (HCP) is een van de grootste wetenschappelijke uitdagingen van de 21e eeuw aangegaan: het in kaart brengen van de menselijke hersenen, met als doel de structuur ervan te koppelen aan functie en gedrag.
Ons brein heeft een unieke frequentie. Deze frequenties kunnen met een MRI zichtbaar gemaakt worden.
In het Human Connectome Project worden bij proefpersonen in fMRI metingen gedaan terwijl ze een functie uitvoeren. Zo zijn er al vele breinnetwerken gedetecteerd.
Om je een beeld te geven.
Ze hebben ontdekt dat als je niets doet het brein nog steeds actief is. Het netwerk wat actief is als je niets doet wordt het default mode breinnetwerk (DMN) genoemd.
Het DMN is alsof je hersenen op “standje dagdromen” gaan: Je denkt aan jezelf, je piekert of fantaseert, je denkt terug aan vroeger, of je bedenkt wat je morgen gaat doen. Blijf je hangen in doemscenario’s? Of kan je ook een meditatievere staat bereiken?
Ander belangrijk netwerk is het Salience netwerk. Dat bepaalt of je aandacht naar binnen of naar buiten gaat. Hier zit je intuïtie. En alle herinneringen van hoe je je voelde, op elk moment van je leven, zitten hier opgeslagen. Het Salience bepaalt ook welke prikkels belangrijk zijn om in je bewustzijn te komen en welke niet. Ben je hypersensitief? Hier zit je emotionele en pijn volume knop!
Andere netwerken gaan over:
Het doen van taken, organiseren en optimaliseren (Centraal executieve netwerk)
Aandacht netwerken: Kun je je goed focussen of snel afgeleid?
Emotionele netwerken: heb je issues met PTSS, angst, impulsiviteit, geheugenstoornissen, verslavingen, motivatie, etc? Dat speelt in deze breinnetwerken.
Beweging, Taal, Visueel en Gehoor netwerken. Kun je prikkels integreren? Kun je je bewegingen goed coördineren?
En dan zijn er nog 6 sociaal emotionele netwerken te onderscheiden zoals hechting, empathie, “tend &befriend”.
Tenslotte werken we met brein-lichaamsnetwerken. Dat gaat over wat stress doet in het lichaam. Staat je sympathische zenuwstelsel te vaak aan? Voelt je nervus vagus zich onveilig? Zijn er storingen op het hartbrein netwerk of buikbrein netwerk wat ook tot hart- of buikklachten kan leiden?
Wat gebeurt er tijdens een Brain Network Attunement sessie?
- Lees hier hoe een sessie verloopt
- Herinneringen liggen diep in je brein verscholen
- Als het verhaal herinnerd wordt, kan heling plaatsvinden
Wat gebeurt er tijdens een Brain Network Attunement sessie?
Je ligt heerlijk ontspannen bij mij op de behandeltafel in een veilige setting. Ik begin altijd met me af te stemmen in een neutrale zone en maak dan via biofeedback test contact met jouw lichaamswijsheid.
Tijdens een Brain Network Attunement sessie maak ik contact met de frequenties van jouw hersennetwerken en het zenuwstelsel. Via de biofeedback test vraag ik welk netwerk bij jou prioritiet heeft en wat het nodig heeft om beter te functioneren en beter samen te werken met andere netwerken in het brein en lichaam.
We gaan terug naar de ervaringen uit het verleden die voor verstoring in je hersenen en/of zenuwstelsel hebben gezorgd. Ik begeleid je om door het verhaal heen te gaan en de emoties en ladingen die erop zitten los te laten — hierbij ga je écht de diepte in. Het kunnen ook lichamelijke ervaringen zijn zoals een hersenschudding, een virus, een zware bevalling.
Het bijzondere is dat het breinnetwerk alles nog weet; soms kunnen zelfs verborgen herinneringen naar boven komen.
Daarna begeleid ik je door een positieve ervaring die het netwerk helpt te repareren, herkalibreren, resetten en/of in coherentie te brengen.
Samen zoeken we dat precieze moment waarmee het systeem weer in balans komt.
The founder
- De Brain Networks Attunement methode is ontwikkeld door dr. Laura Stuve, wetenschapper en voormalig BodyTalk-trainster.
- Zij verdiepte zich in het Human Connectome Project en ontwikkelde een methode om deze nieuwe informatie in 6 stappen als therapie toe te passen
- De allernieuwste inzichten uit de neurowetenschap worden toegepast in deze vernieuwende vorm van therapie.
- Oktober 2025 volgde ik de training bij dr. Laura Stuve.
- Momenteel doe ik het licencing coaching programma om me nog verder in deze veelbelovende therapie te bekwamen.
- Deze methode is naadloos te integreren met BodyTalk, wat ik al vele jaren beoefen en toepas.
- Wil je meer over dr. Laura Stuve en deze methode weten, kijk dan onderstaande free talk.

